Dooley Noted: 3/20/2016
I’m a supporter of the mass exodus from oral contraceptives. This medication is deemed safe, yet the medical information packets note the increased risk of strokes. In fact, several of these medications have been pulled from the market due to increased morbidity risks.
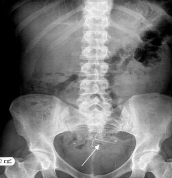
A non-hormonal contraceptive option offered to females is the copper intra-uterine device (IUD).
This device is implanted into the wall of the uterus, in an attempt to trick the body into believing an ovum has already attached to the endometrial lining. If the body senses implantation, then them it tricks the system into thinking its pregnant.
While a non-hormonal option is welcome, IUDs have consequences.
They have increased failure rates. One of my close friends got pregnant with hers!
From a movement perspective, IUD insertion tends to create pelvic floor tightness on the side of insertion, often resulting in everything from dyspareunia (painful sex) to inhibited urination to ipsilateral hip compression.
Since pelvic floor musculature is part of the intrinsic abdominal stability system, it helps create the building of intraabdominal pressure (IAP). If tightness occurs here, then the timing is thrown off for the building of proper IAP.
This can result in strength and stability loss of the lumbar spine. Change the timing of one intrinsic muscle, and you alter the timing of them all.
To complicate matters, two anterior pelvic floor muscles attaches to the tendon made of obturator internus (OI) fascia. OI gets tightened eccentrically with this pelvic floor tightness, created a local hip joint compression. Without proper extensibility of the pelvic floor, the hip fails to decompress.
If you have a chronically jamming hip, consider that your IUD may be one of the reasons the hip can’t properly move Into external rotation.
In fact, I’ve had a number of patients who removed their IUD, just to have the majority of pelvic and hip symptoms to dissipate.
Consider alternatives to IUD to earn back your IAP and pelvic floor extensibility.
You might need your strength.
As always, it’s your call.
– Dr. Kathy Dooley
